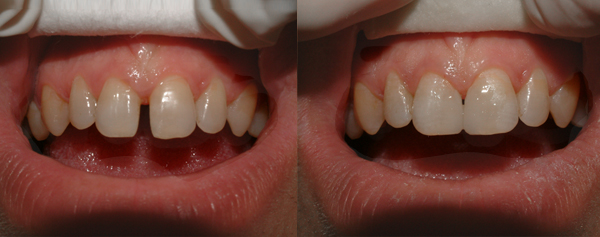
Teeth Gap Treatment

Teeth Gap Treatment

we provide wide range of treatment options to close unsightly gaps depending on the cause of the space, its size, its location, and the condition of adjacent teeth. what are the different treatment options for closing gap between the teeth?

What are the different materials used for Dental crowns?

  • Orthodontic treatment
  • Dental crows/caps
  • Closing the gap using teeth colored filling material ( called bonding)
  • Ceramic veneers.

In most of the deep bite cases contacting surfaces of the upper and lower front teeth gets worn out and the lower front teeth gets worn out. These worn out teeth can be restored with composite bonding, ceramic veneers or crowns/caps.