Deep Bite Treatment

Deep Bite Treatment

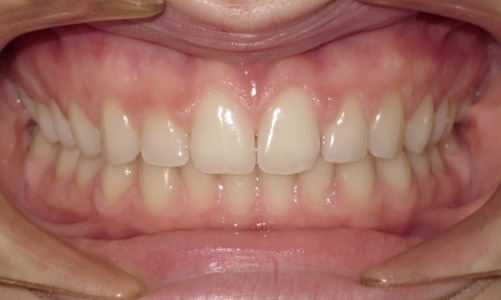
What is a deep bite?

It is a type of bite disorder where in the upper front teeth completely overlap the lower front teeth. This type of bite cause ill effect on the teeth, gums and jaw joints and also the overall look of the patient.

How is this deep bite treated?

This is usually corrected by orthodontic treatment where in the front teeth are intruded and /or by erupting back teeth. This can be done by using conventional braces or invisible braces / Clear aligners..

In most of the deep bite cases contacting surfaces of the upper and lower front teeth gets worn out and the lower front teeth gets worn out. These worn out teeth can be restored with composite bonding, ceramic veneers or crowns/caps.